ФИКСИРУЮЩАЯ ПЛАСТИНА ДИСТАЛЬНОЙ МАТЕРИ
Дистальная блокирующая пластина малоберцовой кости XC Medico® изготавливается из титана и нержавеющей стали в двух вариантах.
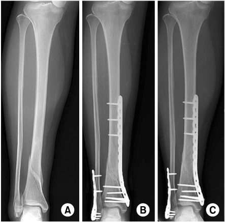
Эта блокирующая пластина дистального отдела малоберцовой кости является наиболее часто используемой хирургами анатомической пластиной при хирургическом лечении переломов латеральной лодыжки.
Фиксирующая пластина дистального отдела малоберцовой кости имеет контур, соответствующий естественной анатомии дистального отдела малоберцовой кости, что может эффективно уменьшить повреждение и раздражение мягких тканей.
После вправления перелома в операционной к наружной поверхности малоберцовой кости прикрепляют стопорную пластину дистального отдела малоберцовой кости и привинчивают к кости. Пластина помогает поддерживать анатомическую репозицию перелома, позволяя
организму с течением времени срастаться с костью. Их низкопрофильная конструкция сводит к минимуму раздражение мягких тканей, но достаточно прочна, чтобы стабилизировать переломы.
Дистальная блокирующая пластина малоберцовой кости доступна из титанового материала (TC4, чистый титан). Головка фиксирующей пластины дистального отдела малоберцовой кости LCP имеет 4 круглых резьбовых отверстия для блокировки, она принимает стопорный винт 3,5 мм и кортикальные винты. Низкопрофильная конструкция эффективно снижает повреждение мягких тканей, способствует быстрому восстановлению кости.
Стержень пластины имеет диапазон от 3 до 8 отверстий LCP для фиксации сломанной кости различной длины, комбинированные отверстия с конструкцией блокировки и сжатия могут принимать стопорные винты 3,5 мм и кортикальные винты 3,5 мм. Отверстие в валу облегчает первоначальное позиционирование пластины.
Перелом системы LCP:
1. Комбинированное отверстие позволяет хирургу выбирать между традиционными методами покрытия, методами закрытого покрытия или их комбинацией.
2. Резьбовое отверстие для стопорных винтов позволяет создавать конструкции с фиксированным углом
3. Гладкая секция отверстия узла динамического сжатия (DCU) для стандартных винтов позволяет использовать нагрузку (сжатие) и нейтральное положение винта.

Наименование товара: | Фиксирующая пластина дистального отдела малоберцовой кости |
| Технические характеристики: | 3 отверстий слева и справа |
| 4 отверстий слева и справа | |
| 5 отверстий слева и справа | |
| 6 отверстий слева и справа | |
| 7 отверстий слева и справа | |
| Материал: | Чистый титан (TC4) |
| Связанный винт: | Стопорный винт 3.5 мм / кортикальный винт 3.5 мм |
| Поверхность закончена: | Окисление/фрезерование титана |
| Примечание: | Индивидуальный сервис доступен |
| Заявление: | фиксация перелома дистального отдела малоберцовой кости |
Почему нужно выбрать нас





Часто задаваемые вопросы:
Q1.Какой у вас способ оплаты?
О: T/T, Western Union, Money Gram, PayPal и Alibaba Trade Assurance Service.
Q2.Каковы ваши условия доставки?
О: DHL, FEDEX, TNT, UPS, ARAMEX, EMS.
Q3.Как насчет времени доставки?
A: Обычно это около одной недели, если товар есть на складе. Или это 15-30 дней, если товара нет на складе, но в соответствии с
количество заказа.
Q4.Есть ли у вашего продукта гарантийный срок?
О: Мы даем 1 год гарантии, но изнашиваемые детали, такие как сверло и отвертка, не распространяются.
Changzhou XC Medico Technology Co., Ltd является филиалом XC Group Corporation, которая была основана в 2007 году с уставным капиталом в 23 миллиона долларов США. Сейчас у XC Group есть заводы, лаборатории и больницы, а XC Medico является дочерней компанией, отвечающей за международный бизнес.
XC Medico и наш завод расположены в городе Чанчжоу, провинция Цзянсу, Китай, который является базой китайской ортопедической промышленности, площадью 5000 квадратных метров и общей численностью 278 сотрудников, в том числе 54 бакалавра, 9 магистров и 11 докторов наук.
После 15 лет исследований и разработок теперь у нас есть 7 основных серий ортопедических продуктов, таких как система для позвоночника, система интрамедуллярных гвоздей, система пластин для травм, система медицинских электроинструментов, челюстно-лицевая система, система основных инструментов и ветеринарная ортопедическая система.
XC Medico концентрирует свои знания на разработке и коммерциализации всей линейки ортопедических изделий и была награждена различными сертификатами контроля качества, такими как ISO13485, CE, а также получила 12 сертификатов регистрации продукта класса III и 2 сертификата регистрации продукта класса II. ; 4 патента на изобретения и 30 патентов на полезную модель.
Наша цель: «Вместе с нашими клиентами всегда делать здравоохранение лучше!»



